
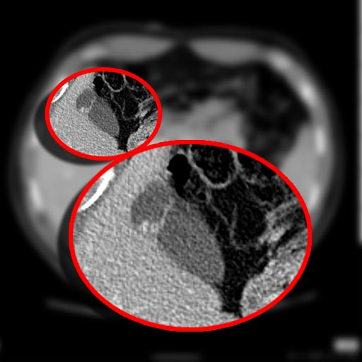
In medicine, a Phrygian cap is the folded portion of some gallbladders that resembles the Phrygian cap (a soft conical cap with the top pulled forward, associated in antiquity with the inhabitants of Phrygia, a region of central Anatolia). It is a normal anatomical variant seen in 1-6% of patients. It is caused by a fold in the gallbladder where the gallbladder fundus joins the gallbladder body. Apart from the chance of being mistaken for stones on a sonogram, it has no other medical implications nor does it predispose one to other diseases.[citation needed] However, due to potential decrease in bile flow, it may warrant a preventive removal of the gallbladder.[citation needed]
- van Kamp MJ, Bouman DE, Steenvoorde P, Klaase JM (August 2013). “A phrygian cap”. Case Rep Gastroenterol. 7 (2): 347–51. doi:10.1159/000354789. PMC 3764950. PMID 24019768.
- Meilstrup JW, Hopper KD, Thieme GA (December 1991). “Imaging of gallbladder variants”. AJR Am J Roentgenol. 157 (6): 1205–8. doi:10.2214/ajr.157.6.1950867. PMID 1950867.

External links
PubMed articles from 1946 – present
A simian, deeply cleft, bilobed gall bladder with a Phrygian cap. KIRKMAN H.Anat Rec. 1946 Aug;95:423-47. doi: 10.1002/ar.1090950405.PMID: 20999465 No abstract available.
The Phrygian cap gall bladder. LOCKWOOD BC.Harper Hosp Bull. 1953 Jul-Aug;11(4):137-41.PMID: 13084093 No abstract available.
On the Phrygian cap. OBER WB, WHARTON RN.N Engl J Med. 1956 Sep 20;255(12):571-2. doi: 10.1056/NEJM195609202551207.PMID: 13369674 No abstract available.
A comparison of the “phrygian cap” deformity with bistable and gray scale ultrasound. Edell S.J Clin Ultrasound. 1978 Feb;6(1):34-5. doi: 10.1002/jcu.1870060110.PMID: 416045 Sixteen patients with a “phrygian cap” deformity of the gall bladder seen with oral cholecystography were further evaluated with both bistable and gray scale ultrasound. …
[Ultrasound misdiagnosis of gallbladder concrements in “phrygian cap” deformity (author’s transl)]. Gmelin E, Freitag H, Fuchs HD.Dtsch Med Wochenschr. 1981 Aug 21;106(34):1067-8. doi: 10.1055/s-2008-1070455.PMID: 7261932 German. Gallbladder septa, for example, in “phrygian cap” deformity, may in rare cases lead to a misdiagnosis of gallbladder stones when B-mode ultrasound with gray scale is used. …
Phrygian cap simulating mass lesion in hepatobiliary scintigraphy. Smergel EM, Maurer AH.Clin Nucl Med. 1984 Mar;9(3):131-3. doi: 10.1097/00003072-198403000-00003.PMID: 6538468 We report a case of delayed filling of a portion of the gallbladder due to a Phrygian cap anomaly. The case demonstrates that without delayed images incomplete filling of the gallbladder can be confused with a mass lesion in the liver….
Percutaneous extraction of gallstones in 20 patients. Cope C, Burke DR, Meranze SG.Radiology. 1990 Jul;176(1):19-24. doi: 10.1148/radiology.176.1.2353089.PMID: 2353089 The other three patients underwent cholecystectomy because of a gallbladder collapse before admission, a tight stone-bearing phrygian cap, and a cannula slippage, respectively. A subhepatic approach was preferentially used after the fundus of the gallbladder was sta …
Soft-tissue images. “Phrygian cap” gallbladder. de Csepel J, Carroccio A, Pomp A.Can J Surg. 2003 Feb;46(1):50-1.PMID: 12585795 Free PMC article. No abstract available.
Recurrent cholangitis associated with biliary sludge and Phrygian cap anomaly diagnosed by magnetic resonance imaging and magnetic resonance cholangiopancreatography despite normal ultrasound and computed tomography. Basaranoglu M, Balci NC.Scand J Gastroenterol. 2005 Jun;40(6):736-40. doi: 10.1080/00365520510015421.PMID: 16036536 They revealed both biliary tract and pancreatic gland alterations consistent with past cholangitis and pancreatitis with coexisting Phrygian cap anomaly and biliary sludge on the neck of the gallbladder….
Phrygian cap in magnetic resonance cholangiogram. Saji S, Tony J, Kumar KS, Thomas V.Indian J Gastroenterol. 2008 Sep-Oct;27(5):194.PMID: 19112189 No abstract available.
Phrygian Cap Appearance of a Mouse Gallbladder on Magnetic Resonance Imaging. Raufman JP, Xu S, Cheng K, Khurana S, Vivian D, Shi D, Gullapalli R, Polli J.J Vet Sci Med Diagn. 2013 Mar 28;2(1):10.4172/2325-9590.1000110. doi: 10.4172/2325-9590.1000110.PMID: 24371838 Free PMC article. In the course of these live-animal MRI studies, we observed a Phrygian cap appearance to the gallbladder of one healthy-appearing 6-week-old male mouse, similar to that of the human gallbladder described in many reports. After euthanasia for measurement of bile cont …
A phrygian cap. van Kamp MJ, Bouman DE, Steenvoorde P, Klaase JM.Case Rep Gastroenterol. 2013 Aug 17;7(2):347-51. doi: 10.1159/000354789. eCollection 2013.PMID: 24019768 Free PMC article. A Phrygian cap is a congenital anomaly of the gallbladder with an incidence of 4%. …A case will be presented where a Phrygian cap was found by coincidence during surgery. The patient was operated for colon cancer with liver metastasis in segment V. . …
Acalculous Phrygian cap cholecystitis. Al-Ashqar M, Maliyakkal AK, Shiwani MH, Anwar S.BMJ Case Rep. 2013 Oct 4;2013:bcr2013009921. doi: 10.1136/bcr-2013-009921.PMID: 24096071 Free PMC article. Laparoscopic cholecystectomy and further histological analysis confirmed acalculous cholecystitis in a Phrygian cap gallbladder….
Two congenital anomalies in one: an ectopic gallbladder with phrygian cap deformity. Rafailidis V, Varelas S, Kotsidis N, Rafailidis D.Case Rep Radiol. 2014;2014:246476. doi: 10.1155/2014/246476. Epub 2014 Mar 4.PMID: 24716073 Free PMC article. Namely, the patient had a transverse ectopic gallbladder combined with a “Phrygian cap” deformity. The incidence of ectopic locations of the gallbladder is 0.1-0.7%, whereas the “Phrygian cap” deformity can be found in 4% of patients. …
Congenital bilobed gallbladder with phrygian cap presenting as calculus cholecystitis. Kannan NS, Kannan U, Babu CP.J Clin Diagn Res. 2014 Aug;8(8):ND05-6. doi: 10.7860/JCDR/2014/9057.4724. Epub 2014 Aug 20.PMID: 25302235 Free PMC article. The incidence of congenital bilobed gall bladder is 1 in 3000 to 4000. A Phrygian cap is a congenital abnormality of the gallbladder with an incidence of 4%. Preferred mode of diagnosis for Phrygian cap is cholescintigraphy and multi phase MRI, as Ultr …
Phrygian cap. Kokilavani J, Indiran V.Abdom Radiol (NY). 2018 May;43(5):1264-1265. doi: 10.1007/s00261-017-1262-9.PMID: 28712057 Review. No abstract available.
Pseudo-duplication of the Gallbladder. Adamski J, Mohan D, Waasdorp C.Clin Pract Cases Emerg Med. 2019 Nov 19;4(1):103-104. doi: 10.5811/cpcem.2019.9.43332. eCollection 2020 Feb.PMID: 32064443 Free PMC article. Phrygian cap and its rare relative, pseudo-duplication of the gallbladder, are two radiologic findings that may be revealed on ultrasound evaluation. Correct identification of Phrygian cap and pseudo-duplication should trigger a careful survey of the g …
Unexpected histopathology results following routine examination of cholecystectomy specimens: How big and how significant? Hasan A, Nafie K, Aldossary MY, Ismail A, Monazea K, Baheeg M, Rady K, Elhawary R, Ibrahim AA.Ann Med Surg (Lond). 2020 Nov 13;60:425-430. doi: 10.1016/j.amsu.2020.11.019. eCollection 2020 Dec.PMID: 33251000 Free PMC article. Eosinophilic carcinomas were detected in two cases (0.45%), gallbladder complete septum was found in one case, and one case of Phrygian cap anomaly. All patients with gallbladder carcinoma were diagnosed incidentally during the histopathological examination. …
Rare clinical features of the Ellis van Creveld syndrome: A case report and literature review. Ghassemi M, Goodarzi A, Seirafianpour F, Mozafarpoor S, Ziaeifar E.Dermatol Ther. 2021 Jan;34(1):e14664. doi: 10.1111/dth.14664. Epub 2020 Dec 26.PMID: 33314608 Review. She also had a history of severe hypotension and cyanosis during surgery and suffered from congenital heart failure and had undergone open heart surgery for correcting her atrial heart defect. In this study pectus excavatum, Phrygian cap gallbladder, liver hemangiom …
A comprehensive study and extensive review of morphological variations of liver with new insights. Ragavan S, Muraleedharan A, Bage NN, Devi R.Surg Radiol Anat. 2022 Mar;44(3):455-466. doi: 10.1007/s00276-022-02883-1. Epub 2022 Jan 19.PMID: 35048140 Review. Gall bladder variations that were noted include the Hartmann’s pouch (n = 14; 15.05%) and the Phrygian cap (n = 2; 2.15%). 65.6% livers (n = 61) had the sulcus of the caudate process or fissure of Gans or Rouviere sulcus which is a normal fissure present in majority …
Phrygian cap cholecystitis. Kerr L, White RZ, Au J, Sampson MJ.Surgery. 2022 Jul;172(1):e7-e8. doi: 10.1016/j.surg.2021.12.027. Epub 2022 Jan 26.PMID: 35090736 No abstract available.
A Rare Incidental Finding of Phrygian Cap in a Case of Pyloric Perforation. Kulkarni V, Ramteke H, Lamture Y, Gharde P, Nagtode T, Rewale V.Cureus. 2022 Dec 12;14(12):e32451. doi: 10.7759/cureus.32451. eCollection 2022 Dec.PMID: 36644070 Free PMC article. Deviation from the normal development of the biliary tree and gall bladder gives rise to numerous different types of anomalies. One of the anomalies is the Phrygian cap. The Phrygian cap is an even rarer condition. We report a case that was asymptomati …
Anatomy, Abdomen and Pelvis: Gallbladder. Jones MW, Hannoodee S, Young M.2022 Oct 31. In: StatPearls [Internet]. Treasure Island (FL): StatPearls Publishing; 2023 Jan–.PMID: 29083749 Free Books & Documents. Occasionally there is a paucity located at the top of the gallbladder fundus. This is called a Phrygian cap and has no pathologic or surgical significance….
Fetal “Phrygian Cap” Gallbladder: Malformation or Deformation? Sepulveda W, Ranzini AC.J Ultrasound Med. 2023 Nov 29. doi: 10.1002/jum.16382. Online ahead of print.PMID: 38029359 A series of five fetuses with a Phrygian cap gallbladder, a condition infrequently reported in the antenatal period, is reported. …
| Anatomy of the liver, pancreas and biliary tree |
|---|
Leave a Reply